インプラントとは

歯が無くなった顎の骨に、人工の歯根(インプラント体)のボルトを埋め込んで、新しい土台を作り、その上に人工の歯をつけるという、新しい歯科治療方法です。
インプラント体には、骨との親和性の良いチタン合金が使われています。また、チタン合金は骨との親和性も良く、人体への影響はなく、安心です。
インプラントは、かむ力や耐久性が天然の歯に近く、また骨と直接結合するため沈み込みがなく、他の歯を沈み込みの力から守るという効果もあり、日々の歯磨きを通常よりていねいにするだけで、自然の歯と同じように使え、”第二の永久歯”といわれています。
インプラント治療の利点
- インプラントによる入れ歯なら、天然の歯とほとんど同じ感覚で噛むことができます。
- 入れ歯と違い装着したときのような異物感がなく、違和感がまったくありません。
- 入れ歯の場合は入れ歯を作る技工士の技術によっては、発音のしづらい場合がありますが、インプラントは発音には全く影響を与えません。
- 自然な見栄えや表情を取り戻すことができ、人前で話すことにも抵抗感がなくなります。
- なんでも良く噛めることから、食事の際の制限がなくなり、バランスの良い食事が楽しめます。
- 楽しい食事は体を健康に保つだけでなく、心までも健康にします。
- 並列している健康な天然歯を削ることなく、喪失している部分だけをインプラントによって補えます。
- 義歯では、噛む力が弱くなったり、粘膜の一部が覆われたりすることで味覚が低下することがあります。インプラントでは味覚の低下する要素は見当たりません。
- 歯根を支えている歯槽骨は歯があってこそ健全に保たれています。歯が失われると急激に吸収されてしまい、入れ歯は吸収を加速させると言われています。最終的にほとんど顎の骨が退化してしまうケースもあります。インプラントは骨の吸収を抑える働きをして、若々しい表情を保ちます。
- スポーツをやっている方たちは、知らず知らずに歯を食いしばって力を出しますが、歯がボロボロになってしまいます。入れ歯ではそのような力に耐えられませんがインプラントならば対応できるのです。
- インプラントは人工歯ですから、天然歯と違い虫歯にはなりません。ホームケアは天然歯と同様に歯磨きや歯間ブラシなどが必要です。入れ歯の場合は何年かすると負担がかかった歯が傷むため、作り替えたり、入れ歯の範囲を増やしたりしなければなりません。また、歯茎が萎縮するなどして合わなくなることもあります。インプラントは定期検診以外には通院の必要はなく作り替えはありません。
インプラント治療の欠点
- 自由診療であるため保険がきかない。
- 手術が必要になる。
- 治療期間が入れ歯やブリッジ治療よりも長くなる。
- 術後はメンテナンスが必要。
- 術後痛み・腫れが出る可能性がある。
インプラントと他の治療の違い
通常歯を失った場合、両隣の歯を削って橋渡し(ブリッジ)をしますが、インプラントの場合は両隣の歯を削らずにすむのが一番のメリットです。また後方の歯を失った場合にやむを得ず義歯にしていた症例も、義歯を使用しないですむケースがあります。
天然歯は骨の中で多少の沈み込みがありますが、インプラントの場合、骨と直接結合するため沈み込みがほとんどありません。これにより沈み込みの力に負けて痛めつけられていた周囲の歯を守る効果も持っています。
安全で確実なインプラント治療のために

当院では、インプラント治療をより安全・確実に行うために「精密診断用歯科CT」や「コンピュータシミュレーション」、「世界標準のインプラントシステム」など最新の機器・材料・衛生管理システムを積極的に使用して最良のインプラント治療に取り組んでいます。
詳しくはこちら
より負担の少ないインプラント治療

博山歯科クリニックでは、患者様の負担をなるべく少なくすむように低侵襲治療を実践しております。
例えば、歯肉を切開する治療法はもちろんのこと、切開しないフラップレス術式(無切開・無剥離)やその日に歯が入り食事をすることができるイミディエイト術式(即時荷重)など。
そして骨が不足している場合、足りない部分に骨を造るGBRやサイナスリフトなどのグラフト術式はもちろんのこと、極力骨を造らずに治療を行うグラフトレス術式、All-on-4(オールオンフォーによる無歯顎即日治療)といった極力負担を軽減することが可能な治療法も実施しております。
骨増生術式 骨増生回避術式
当院で使用するインプラントメーカー
使用するインプラントシステムは
「実績」「信頼性」「安全性」という基準をクリアした
世界で最も実績があり信頼されている2大メーカーを選んでおります

ストローマン
スイスで製造されているストローマン製品は最新の研究成果、先端技術、科学文献により裏づけられており、厳しい生産・品質管理により作られています。四半世紀以上の総合的臨床学術情報から、整形外科分野で30年以上の臨床実績があり、世界中で最も使用されているインプラントシステムです。

ノーベルバイオケア
ノーベルバイオケア社のインプラントは、ブローネマルク博士によって開発され、1965年に臨床応用されてから45年以上の実績を持つインプラントシステムです。34カ国に営業拠点を持ち、70カ国以上に製品を供給し、世界中で大きなシェアを持つデンタル・インプラントのリーディングカンパニーです。
ケース症例
審美領域インプラント(前歯部のインプラント)
-
-
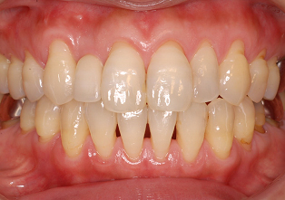
インプラントブリッジのジルコニアオールセラミックにて前歯部・審美領域の治療
- 主訴
- 事故で前歯を喪失、見た目と噛み合わせを治したい。
- 治療内容
- 上顎前歯2本のインプラントと右上の天然歯を、同時に色調を合わせて修復を行なった。
- 治療費用
- インプラントに関わる治療費:1,025,000円(税別)
- 治療期間
- 5ヶ月
審美領域の抜歯即時インプラント(前歯部のインプラント2)
-
-
右上の歯の前から2番目を抜歯し、即時にインプラントを施した前歯部・審美領域の治療
- 主訴
- 右上前歯2番目の被せ物が取れた。
- 治療内容
- 被せ物が脱離した右上2は歯根破折をしており、保存不可能と判断されたため抜歯と同時のインプラント埋入を計画。抜歯と同時にインプラント埋入。そのインプラントの生着を待って上部構造の装着を行なった。
- 治療費用
- 435,000円(税別)
- 治療期間
- 3ヶ月
単独欠損の1歯インプラント(小臼歯症例)
-
-
右上の歯の前から2番目を抜歯し、即時にインプラントを施した前歯部・審美領域の治療。
他院でのインプラント失敗症例のリカバリー
-
術前口腔内写真
-
結合組織を採得
-
結合組織移植
-
術後口腔内写真
インプラントのフィクスチャーが露出しているところを結合組織移植によるリカバリー症例となります。